Definition

Irreversible dilatation of the cartilage-containing bronchi and small airways, resulting in impaired mucociliary clearance, chronic infection, and progressive parenchymal destruction.

Aetiology and pathogenesis

Cole's vicious cycle hypothesis explains the core pathophysiology: infection leads to airway insult, persistent endobronchial inflammation damages the mucociliary unit, worsening infection drives progressive bronchial dilatation. In approximately half of patients, no underlying cause is found — termed idiopathic bronchiectasis.

Table 8 · Predisposing factors for bronchiectasis
CategoryConditions
Infection
BacterialTB, Staphylococcus, Klebsiella, Pseudomonas, anaerobes, NTM
ViralAdenovirus, influenza, measles, pertussis, HIV
FungalAspergillosis (ABPA)
Airway obstruction
CongenitalBronchomalacia, sequestration, bronchial cyst
AcquiredForeign body, tumour, lymph node compression, impacted mucus
Impaired secretion drainage
CongenitalCystic fibrosis, primary ciliary dyskinesia; Kartagener, Klinefelter's, yellow nail, Young's syndromes
AcquiredRA, Sjögren's, sarcoidosis, UC, Crohn's; toxic fume inhalation; GERD
Immune deficiency
PrimaryIgG deficiency, IgA deficiency
AcquiredAIDS, malnutrition

Clinical features

Chronic productive cough with copious sputum is the hallmark. Paroxysms occur on waking due to pent-up nocturnal secretions. Sputum is thick, tenacious, and foul-smelling. Approximately half of patients experience haemoptysis, ranging from streaking to life-threatening massive haemoptysis. Dry (sicca) bronchiectasis — cough and haemoptysis without expectoration — occurs in a subset.

History taking

Always document inciting events — childhood pneumonias, TB exposure, foreign body inhalation, allergic disease, and systemic symptoms of autoimmune disorders. Extensive bronchiectasis can exist with minimal physical signs. On auscultation: early and mid-inspiratory coarse leathery crackles that reduce after coughing and postural drainage.

Imaging

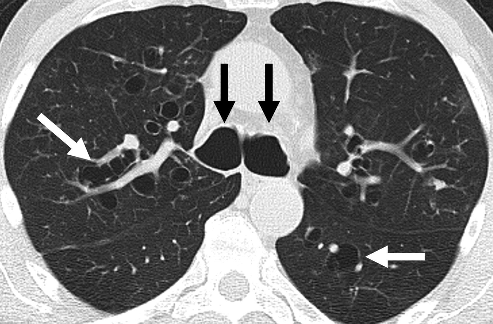
HRCT — investigation of choice

HRCT showing bronchiectasis with signet ring sign and dilated airways
Fig. 1. HRCT of the chest showing bronchiectasis — dilated thick-walled bronchi with the signet ring sign (broncho-arterial ratio >1.5) and tram-track appearance. Cylindrical pattern in this case. Via Wikimedia Commons. CC BY-SA 3.0.
Table 10 · HRCT findings in bronchiectasis
SignFindingSignificance
Tram-track signParallel thickened bronchial walls, uniform calibre, no taperingCylindrical bronchiectasis
Signet ring signBroncho-arterial ratio >1.5 — dilated bronchus beside normal arteryDiagnostic of bronchiectasis
Cluster of grapesDilated cystic bronchi to pleural surface with air-fluid levelsSevere cystic/saccular disease
OtherMucoid impaction, air-trapping, mosaic perfusionFunctional obstruction

Reid classification: Three morphological types in increasing severity — cylindrical (tubular), varicose, and cystic/saccular.

Surgical indications

Surgical indications have remained broadly stable since the 1950s. Localised bronchiectasis should be offered resection in intermediate and late disease. Diffuse bilateral disease carries poor prognosis with either modality.

  • Frequent infective exacerbations requiring repeated antibiotic therapy
  • Failure of adequate medical management
  • Complications — haemoptysis, lung abscess, empyema
  • Prevention of contamination spread from severely diseased to relatively normal segments
  • Localised NTM disease resistant to prolonged medical therapy
Key principle

Resection must be complete — leaving residual bronchiectatic segments is associated with persistent symptoms and poor outcomes. Reduce septic load pre-operatively with at least two weeks of targeted antibiotics, physiotherapy, and postural drainage before any elective resection.

Operative approaches

Posterolateral thoracotomy

Standard approach. Excellent exposure. Staged bilateral resections are separated by 6 weeks.

Median sternotomy

For simultaneous bilateral resection — particularly middle lobe and lingular segments. May need clam-shell extension for LLL.

VATS

Suitable for localised disease with minimal scarring, no calcified hilar nodes. Preferred for selected single-stage bilateral resections.

Intraoperative challenges

Dense vascular adhesions and hypertrophied bronchial arteries demand meticulous dissection and haemostasis. Calcified nodes encasing the PA may require proximal arterial control or intrapericardial dissection. Clamp and divide the bronchus early to minimise soiling. Preserve peribronchial tissue to reduce BPF risk. Cover all stumps with vascularised tissue.

Postoperative complications

Overall morbidity approximately 20%. No significant difference between bilateral diffuse and localised disease.

Common Prolonged air leak Atelectasis Supraventricular arrhythmia Retained secretions
Major (1–3%) Re-exploration for bleeding Empyema Bronchopleural fistula
Current guidelines

For antibiotic therapy, microbiological surveillance, and non-surgical management protocols, refer to the BTS Guideline on non-CF bronchiectasis (current version).

Further reading

All clinical content should be verified against current guidelines before clinical application. This resource is intended for revision and educational purposes only.

Standard textbooks

  • Shields TW, LoCicero J, Reed CE, Feins RH. General Thoracic Surgery. 7th ed. Lippincott Williams & Wilkins.
  • Sellke FW, del Nido PJ, Swanson SJ. Sabiston & Spencer Surgery of the Chest. 9th ed. Elsevier.
  • Pearson FG, et al. Thoracic Surgery. 3rd ed. Churchill Livingstone.

Current guidelines & resources